2019隱形正畸新技術耀世發布會
――倫敦奧運體操運動員張成龍傾情助陣!
德倫口腔攜手全球知名隱形矯治器品牌——時代天使舉辦“時代天使新矯治技術耀世發布會”,成立矯正診室并啟動“微笑基金”,德倫口腔成為時代天使廣東官方指定醫院。
倫敦奧運體操運動員張成龍作為德倫口腔矯正診室嘉賓,與各大紙媒/網絡媒體代表、社會各行各業的熱心市民一起親眼見證了時代天使體育健兒同款矯治技術angelalign Pro在德倫全國發布!
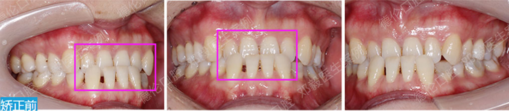
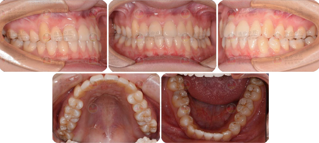
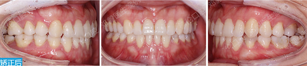
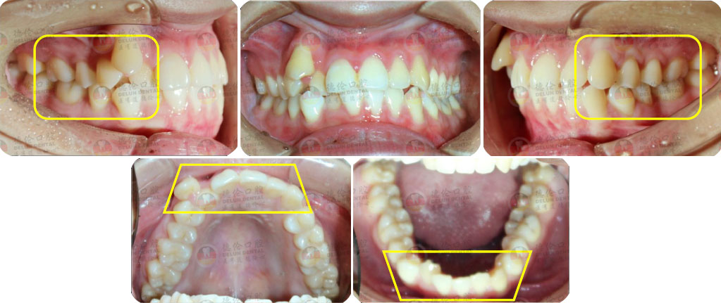
體育健兒“同款隱形矯正”在德倫
薄厚搭配 ,矯治效率更高
矯治采用兩種不同的厚度的膜片(牙套),發揮兩種不同膜片的各自優勢,在有效的作用時間內,矯治效率、矯治目標達成和舒適度方面較普通隱形矯正方式有明顯提升。
Angelalign Pro 3大技術支撐5大優勢
- 可預知
結合3D數字化口掃技術,可親自見證矯正后模擬效果圖
- 更美觀
MasterControl™材料,入射光會在材料表面形成漫反射,矯治器更隱形、美觀
- 更高效
在保證矯正效果的情況下,大幅度縮短矯正時間
- 更準確
厚薄兩種矯治器,每周替換有利于牙齒位置的準確控制
- 更舒適 在不影響牙齒移動速度的前提下讓患者舒適度大大提高
馬上咨詢
每一周 美一點
每周一次換新 讓牙齒擁有新的改變 每周一點蛻變 讓你遇見更美的自己
展開詳情 >>
德倫口腔矯正診室
時代天使指定專家團接受預約
德倫口腔矯正診室指定專家團是以德倫口腔總院正畸科主任、時代天使全國智美隱形矯治病例大賽三等獎得主――熊小琴主任,和德倫口腔總院正畸科資深專家、隱形矯正培訓講師、有 26 年口腔醫療臨床經驗的王蘇靜醫生,共同領銜的 16 位隱形正畸認證醫師。指定專家團實力雄厚,臨床經驗豐富,內含多名口腔正畸專業博士、碩士組成的正畸博碩專家團和第 18 屆雅加達亞運會中國代表團時代天使口腔保障營專家團。


熊小琴

王蘇靜

黃家華

鄧毅

翁嘉華

李金凌

楊碩

李藏珍

何凱

吳霞

付艷

何冠雅

黃景祥
-
熊小琴 主任醫師
⋅ 德倫口腔總院正畸科主任
⋅ 廣東省民營牙科協會理事
⋅ 中華口腔醫學會會員
⋅ 美國Invisalign中國區培訓講師
擅長項目:無托槽隱形矯治、自鎖金屬托槽矯治、自鎖陶瓷托槽迷你矯治、全瓷牙貼面技術、青少年矯治
-
王蘇靜 主治醫師
⋅ 德倫口腔正畸醫生
⋅ Angel Align隱形正畸認證授權醫師
⋅ 美國Invisalign隱形正畸認證授權醫師
擅長項目:無托槽隱形矯治、自鎖金屬托槽矯治、自鎖陶瓷托槽迷你矯治、全瓷牙貼面技術、青少年矯治
-
黃家華 主治醫師
⋅ 德倫口腔正畸醫生
⋅ 磁力功能性矯正專家
擅長項目:青少年磁力功能性矯治、自鎖金屬托槽矯治、自鎖陶瓷托槽矯治、無托槽隱形矯治
-
鄧毅 主治醫師
⋅ 德倫口腔正畸醫生
⋅ 中華口腔醫學會正畸專業委員會會員
⋅ 第十四屆全國正畸學術會員
⋅ 無托槽隱形矯正技術認證專家
擅長項目:自鎖托槽矯治技術、替牙期青少年功能矯治、Tweed-Merrifield標準方絲弓矯治技術
-
翁嘉華 主治醫師
⋅ 德倫口腔中山八精品院正畸科主任
⋅ 中山大學醫學碩士
⋅ 中華口腔醫學會正畸專業委員會會員
⋅ 廣東省正畸專業委員會青年委員
⋅ 第18屆亞運會中國代表團口腔保障營特邀專家
擅長項目:傳統固定矯正、自鎖托槽矯正、無托槽隱形矯正
-
李金凌 執業醫師
⋅ 德倫口腔正畸科醫生
⋅ 中華口腔醫學會正畸專業委員會成員
⋅ 中華口腔醫學會成員
擅長項目:傳統固定托槽矯治、自鎖托槽矯正、無托槽隱形矯正、替牙期青少年功能矯治
-
楊碩 主治醫師
⋅ 德倫口腔正畸科醫生
⋅ 青少年、兒童矯正專家
⋅ 南開大學口腔正畸學碩士
⋅ UNLV牙合學認證
擅長項目:青少年、兒童早期干預治療、傳統固定矯正、無托槽隱形矯治
-
李藏珍 主治醫師
⋅ 南方醫科大學正畸專業碩士
⋅ 原廣州三甲醫院口腔科主治醫生
⋅ 中華口腔醫學會正畸專科(COS)會員
⋅ 美國隱適美隱形矯正認證專家
⋅ eBrace舌側矯治認證醫師
擅長項目:自鎖金屬托槽矯正,無托槽隱形矯正,青少年功能性矯治、舌側隱形矯治
-
何凱 職業醫師
⋅ 中山大學口腔醫學院學士
⋅ 中華口腔專業委員會會員
⋅ 中華口腔專業委員會正畸專委會會員
⋅ 時代天使隱形矯治認證醫師
⋅ 隱適美隱形矯治認證醫師
擅長項目:各類型固定矯治、SPEED自鎖矯正、隱形矯治技術
-
吳霞 執業醫師
⋅ 德倫口腔兒童與成人正畸醫生
⋅ 中山大學光華口腔醫學院正畸醫學學士
⋅ 中華口腔醫學會口腔正畸專業委員會專科會員
⋅ 無托槽隱形矯治認證專家
擅長項目:兒童\青少年牙齒矯正,成人固定矯正、無托槽隱形矯正
-
付艷 執業醫師
⋅ 德倫口腔車陂精品院正畸科醫生
⋅ 美國Invisalign隱適美認證醫師
⋅ 時代天使認證醫師
擅長項目:無托槽隱形矯正,青少年和成人的各類錯頜畸形的矯治
-
何冠雅 執業醫師
⋅ 德倫口腔江南西精品院正畸醫生
⋅ 中山大學口腔醫學學士
擅長項目:應用口腔肌功能訓練器(MRC),兒童乳牙期和替牙期的錯頜畸形進行早期矯治,青少年和成人的各類錯頜畸形的矯治
-
黃景祥 主治醫師
⋅ 順德德倫口腔醫院正畸主任
⋅ 廣東省醫學會口腔正畸醫學分會會員
⋅ 時代天使隱形整機認證醫師
⋅ Invisalign隱適美隱形矯治認證醫師
⋅ 美國隱適美隱形正畸認證醫師
擅長項目:美國隱適美無托槽隱形矯正,時代天使隱形矯正,自鎖傳統托槽矯正,兒童正畸干預,青少年、成人正畸,以及各種疑難牙齒矯治等